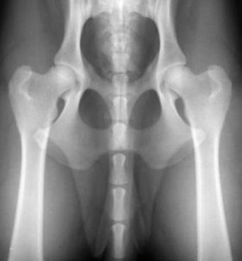
Luustokuvauspäivä Päijät-Hämeen eläinlääkäriasemalla
Tarkastelet mennyttä tapahtumaa.
- ti 7.4.2026 klo 14:30–18:40
- Päijät-Hämeen eläinlääkäriasema - Lahti
Tarkastelet mennyttä tapahtumaa.
Jäsenille ja heidän kasvateilleen.
Ilmoittautuminen on päättynyt.

Jäsenhinnat luustokuvauksille:
– Lonkat ja kyynärät alle 40kg koira 152 €
– Lonkat ja kyynärät yli 40g koira 173 €
– Lonkkakuvaus ilman kyynäriä 150 €Ylläoleviin lisäksi, jos kuvataan:
– Selkäkuvat +20 €/kpl (suppea lähete 2 selkäkuvaa, laaja lähete 3 selkäkuvaa, pl. SKL listojen 1 ja 2 koirarodut)
– Olkakuvat +52 €sis. molemmatPelkät selkäkuvat:
– Selkäkuvauspaketti 1 (enintään 4 kuvaa – roduille, jotka eivät ole SKL selkäkuvien poikkeuslistoilla) 190 €
– Selkäkuvauspaketti 2 (enintään 8 kuvaa – roduille, jotka ovat SKL selkäkuvien poikkeuslistoilla 1 ja 2) 224 €Hinnat sisältävät käytetyt rauhoitteet.